
Per quanto possa suonare strano, secondo una recente ricerca scientifica i nostri telefonini potrebbero non solo aiutarci a sviluppare la memoria, ma addirittura combattere il morbo di Alzheimer. E non stiamo parlando di aiutare la ricerca con i classici SMS di beneficenza.
E’ risultato infatti – da uno studio specifico – che le onde elettromagnetiche emesse dai cellulari favorirebbero le funzioni cognitive. E così, dopo anni di spauracchi in merito ai possibili danni o meno causati dall’utilizzo dei telefonini (si era partiti dai problemi di cancro alle orecchie, fino alle leggende metropolitane di impotenza in caso tenessimo i dispositivi in tasca) gli scienziati del Department of Cell Biology dell’università della Florida hanno ammesso di essere rimasti sorpresi loro stessi quando si sono resi conto che le loro ricerche hanno evidenziato nientemeno che “poteri benefici”.
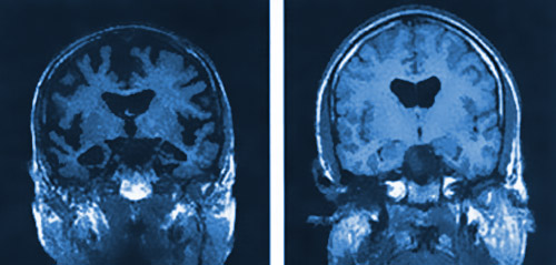
Per ora la ricerca è stata compiuta “solo” su dei (poveri) topi da laboratorio a cui era stato impiantato geneticamente il morbo di Alzheimer e successivamente esposti alle onde elettromagnetiche del cellulare per 2 intervalli al giorno da 1 ora ciascuna. Questo per 8 mesi. Si è scoperto così che le onde hanno stimolato i neuroni, specie nei topi più giovani, contribuendo a far regredire la malattia. In ogni caso, anche gli altri topi hanno mostrato segni di forte rallentamento nello sviluppo dell’Alzheimer.
Sebbene questi risultati non possano ancora far gridare al miracolo, aprono senza dubbio altissime speranze, dato che i topi geneticamente sono molto simili a noi. Rebecca Wood, responsabile dell’Alzheimer’s Research Trust, ha dichiarato: “Questa ricerca è stata effettuata su cavie da laboratorio in quanto in loro il morbo di Alzheimer ha un comportamento che ha moltissimi punti in comune con quello degli esseri umani“.
Va detto per dovere di cronaca che gli scienziati hanno comunque sconsigliato l’utilizzo massivo dei nostri cellulari poichè non si conoscono ancora approfonditamente gli effetti a lungo termine… e le bollette potrebbero davvero essere molto salate!